En
Precision 128 CT
Spectral CT with Precise Tomography Technique
·Global invention patent P-Axial precision tomography microscopy technology, which can obtain 0.3125mm ultra-thin layer precision CT image
·Advanced comprehensive spectral imaging platform can identify more substances and provide accurate qualitative and quantitative diagnosis for more clinical diseases
·Accurate low dose care ultra-low energy CT scanning, with the current industry 60kV/70kv ultra-low energy CT scanning, by reducing the energy of X-ray to reduce the damage of CT radiation to screening objects
·Care 240°organ protection scanning mode can avoid the direct irradiation of sensitive organs such as eyeball, thyroid and breast, which can protect the health of patients
·P-dose 3D precise milliampere modulation can intelligently adjust the scanning dose at different positions according to the density, body shape and weight of the scanning parts of the screening objects, so as to further reduce the radiation dose
·P-IR: Projection and image domain noise reduction and iterative reconstruction technique ensure good image quality
·3D precision tomography technology can be used for precision 3D reconstruction to eliminate the step artifacts in conventional 3D reconstruction and the windmill artifacts in spiral reconstruction
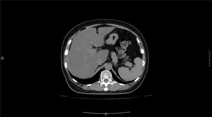
Clinical Gallery
3D Abdomen CTA
3D Abdomen CTA
Copyright © 2021-2022 Campo Imaging Medical Technology Co. LTD  technical support:QingCong  鲁ICP备2021033667号-1